Dr Bounhir BOUMEHDI
Médecin Radiologue
C’est un texte inspiré de trois histoires réelles marocaines.
Il y a des jours où la vie vous joue des tours inattendus, et où des vérités cachées se révèlent dans l’ombre de l’imprévu.
C’est précisément ce qui est arrivé à trois patients, venus pour des raisons banales, mais qui ont vu leur destin basculer à l'occasion d'examens radiologiques ordinaires.
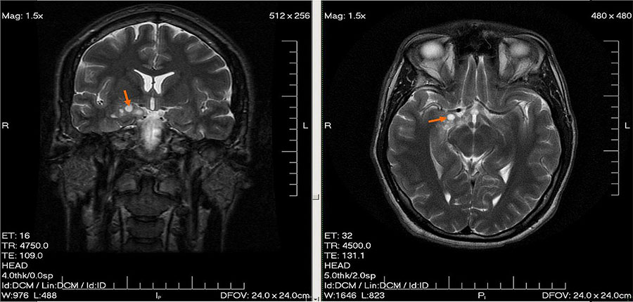
L’histoire de Youssef
Youssef, un ingénieur de 42 ans, se plaignait depuis quelques semaines de vertiges.
Pensant à une fatigue liée au stress, il consulta son médecin qui lui prescrivit une IRM pour écarter toute suspicion de problème vestibulaire (atteinte de l’oreille).
L’examen fut mené rapidement, et à la surprise du radiologue, ce n’était pas une simple anomalie de l’oreille interne qu’il découvrit, mais une tumeur maligne, cachée en profondeur dans le lobe temporal de son cerveau.
L’annonce fit l’effet d’un coup de tonnerre dans la vie de Youssef.
L’homme fort et optimiste qu’il était se retrouva soudain face à une réalité accablante.
Mais la médecine moderne, dans toute sa force, lui offrait une chance inespérée.
Grâce à une chirurgie assistée par l’imagerie neuronaviguée, la tumeur fut extraite avec une précision millimétrée.
Youssef, après une opération délicate, put reprendre sa vie, ses vertiges dissipés et son horizon débarrassé de l’ombre de cette menace silencieuse.
L’histoire de Malika
Malika, une jeune mère de 35 ans, avait consulté pour des migraines persistantes.
Elle avait souvent attribué cela à son rythme de vie trépidant, jonglant entre son travail et ses enfants.
Un scanner fut prescrit pour évaluer les causes possibles de ses douleurs.
Ce qui devait être un examen de routine révéla une réalité bien plus sombre : une tumeur agressive dans son cortex frontal.
La découverte était déchirante, et la peur s’empara de Malika, redoutant le pire pour elle-même et pour ses enfants.
Mais la science ne l'abandonna pas.
Avec l’aide d’une chirurgie assistée par l’imagerie fonctionnelle, les neurochirurgiens purent cartographier précisément les zones du cerveau responsables des fonctions motrices et linguistiques.
Grâce à cette avancée, la tumeur fut retirée avec une précision telle que Malika ne souffrit d'aucune séquelle.
Sa gratitude envers l’équipe médicale était infinie, et elle put retrouver sa famille en pleine santé.
L’histoire de Brahim
Enfin, il y avait Brahim, un homme d’affaires d'une soixantaine d’années, qui n’avait jamais réellement prêté attention à sa santé, jusqu’à ce qu’il ressente des troubles de vision intermittents.
Un simple examen d’imagerie pour analyser son nerf optique révéla un glioblastome, une tumeur maligne dissimulée près de son chiasma optique.
Une découverte choquante pour cet homme dynamique, qui n’avait jusque-là aucun symptôme alarmant.
La chirurgie cérébrale semblait risquée, mais les avancées médicales avaient ouvert des perspectives que Brahim n'aurait jamais imaginées. Avec l’utilisation de techniques de résonance magnétique intra-opératoire, les chirurgiens purent ajuster chaque geste, chaque incision, en temps réel, s’assurant que la tumeur était extirpée sans toucher les structures essentielles.
Brahim se réveilla de cette opération délicate avec sa vue intacte, et une nouvelle appréciation pour le fragile équilibre de la vie.
La magie de l’imagerie médicale
Ces histoires, aussi différentes soient-elles, révèlent un fait commun : la chance fortuite de découvrir une tumeur cérébrale avant qu’elle ne manifeste ses ravages.
Grâce aux avancées de l’imagerie médicale et des techniques chirurgicales de pointe, des vies autrefois condamnées sont aujourd'hui sauvées.
Des tumeurs qui se cachaient dans les coins sombres du cerveau, menaçant silencieusement, sont aujourd’hui extirpées avec une précision chirurgicale presque miraculeuse.
L’imagerie moderne, qu’il s’agisse de l’IRM fonctionnelle, de la neuronavigation ou de la résonance magnétique intra-opératoire, a changé la donne.
Ce ne sont plus seulement des images, mais des outils puissants qui guident la main des chirurgiens, leur permettant d’opérer avec une exactitude qui semblait autrefois impossible.
Aujourd'hui, ces histoires, autrefois sources de tragédie, se transforment en récits de rédemption, de courage et d’espoir.

