Dr Anwar CHERKAOUI
Oui, on peut guérir un cancer du Rein. Le principal moyen est un diagnostic précoce grâce à une imagerie médicale (IRM) dès l’âge de 50 ans, précise Dr Bounhir BOUMEHDI, radiologue à Salé.
Le traitement est alors chirurgical.
On peut parfois avoir recours à l'immunothérapie.
Le cancer de moins de 4 centimètres peut se traiter en ambulatoire ou en hospitalisation de 24 heures.
Le cancer du rein représente 2 à 3 % de tous les cancers. Les hommes sont deux fois plus touchés que les femmes. L’âge moyen de survenue est la tranche des 60-65 ans.
Les principaux facteurs de risque sont le tabagisme, l’hypertension artérielle et l’obésité. Certains polluants pourraient jouer un rôle; l’incidence de ce cancer est plus forte dans les régions à forte densité industrielle. Des formes familiales existent aussi. Ce sont des données rapportées par le Groupe Marocain d’Andrologie et de médecine sexuelle (GRAMS).
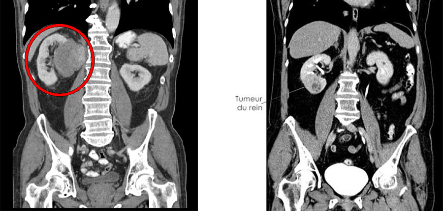
Sept fois sur dix, la découverte est fortuite, à l’occasion d’une imagerie abdominale, par scanner ou IRM, prescrite pour une autre raison médicale.
Ou alors, le médecin traitant demande des examens radiologiques en raison de l’apparition de symptômes : sang dans les urines, douleur dorsale, masse abdominale ou des signes généraux sous forme de fatigue, perte de poids ou fièvre inexpliquée.
Dans l’objectif de diagnostiquer un cancer du rein, le médecin traitant demande un bilan radiologique et biologique.
Le but recherché est de déterminer si le cancer est localisé au rein ou non, c’est à dire étendu en périphérie immédiate de celui-ci (graisse qui l’entoure, veine rénale ou veine cave) ou déjà métastasé à distance du rein touchant ganglions, poumon, os et foie.
Le bilan radiologique, explique Dr Bounhir BOUMEHDI, radiologue à Salé, un scanner thoraco-abdominal avec injection d’un produit de contraste dans les vaisseaux. Parfois une IRM est demandée pour préciser le degré d’extension à une veine cave ou quand le scanner est contre-indiqué, par exemple, chez un patient qui souffre d’une insuffisance rénale.
Le bilan biologique, selon Dr Adnane Ghazali. Biologiste à Salé, a pour but d’évaluer la fonction rénale et non pas pour rechercher dans le sang des marqueurs spécifiques qui sont encore inconnus.
L’imagerie (les examens radiologiques) suffit à guider la stratégie thérapeutique, précise Pr Mohammed AMER, urologue à l’hôpital militaire de Rabat.
Si le traitement de première intention est chirurgical, l’analyse de la pièce opératoire précisera le type de la tumeur et son degré d’agressivité.
Le traitement d’un cancer du rein est chirurgical. Et schématiquement, trois grandes situations sont à considérer. Selon Dr Aziz AQIRA, urologue à Kenitra.
Premier scénario thérapeutique : le cancer est localisé et de petite taille, moins de 4 centimètres. Il doit être opéré mais on peut parfois le détruire de façon mini invasive par radiofréquence (les ultrasons) ou par cryothérapie, sous anesthésie locale, en ambulatoire ou hospitalisation de 24 heures. La guérison est obtenue dans la plupart des cas.
Deuxième scénario thérapeutique : Le cancer est localisé mais de plus grande taille. La cure est alors chirurgicale par néphrectomie (ablation totale ou partielle du rein).
A deux ans, 70% des sujets opérés d’un cancer agressif sans traitement adjuvant sont en vie. Les pronostics avec un traitement adjuvant sont en cours d’évaluation,
Troisième scénario thérapeutique: Le cancer est étendu sans métastases. S’il est encore opérable, le traitement rejoint le deuxième scénario.
S’il n’est pas opérable car l’extension infiltre trop les légendes et les tissus ou s’il est métastatique, une immunothérapie, associée ou non à des inhibiteurs de l’angiogenèse, médicaments qui bloquent les vaisseaux alimentant la tumeur est proposée. Elle peut par son action réductrice rendre le cancer secondairement opérable.
Enfin, pour espérer une guérison, il importe que le diagnostic soit précoce.
Une détection par échographie, imagerie IRM ou scanner chez les personnes dès l’âge de 50 ans serait la prévention idéale.

