|
|
![]() |
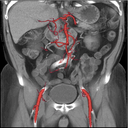
Ces images ont l’air d’être des visualisations créées sur ordinateur de différents organes, os et vaisseaux sanguins.
En réalité ce sont des images prises grâce à la tomodensitométrie du corps de vrais patients d’un hôpital de Floride qui teste un nouveau scanner médical que General Electric vient de révéler.
Les CT-Scan marchent en envoyant un faisceau de rayons X qui balaye le corps et dont le résultat est analysé par ordinateur et transformé en tranches qui sont finalement assemblées en un modèle 3D.
Un des problèmes qu’ils rencontrent est que le temps que le faisceau balaye le corps tous les petits mouvements du patient sont enregistrés et peuvent résulter en une image floue qui réduit la résolution du scan.
Un des gros bénéfices de ce nouveau dispositif est de permettre de réaliser le scan beaucoup plus vite de façon à ce que même les battements du cœur ne viennent pas perturber le résultat.
![]() |
|
![]() |
![]() |
![]() |
![]() |
![]() |
![]() |
![]() |
![]() |
![]() |
![]() |
![]() |
![]() |
![]() |














